2018/03/11更新
Colume
6
院長・深野 源太 / ふかのげんた
治療後もほとんど目立たない素材の被せ物も取り扱っています。
美しさと機能を両立健康的で自然な口元に。

ホワイトニングには、ホームホワイトニング・オフィスホワイトニング・オフィスホワイトニング・ウォーキングブリーチが一般的に知られていますが、羅列してあるだけで、何かの分類というわけではありません・・・もっとも、方法や使う器材が違うので、良しとしましょう。
あい歯科では、オフィスはやっておりません。

ACP配合の最新版!
【特徴】
7~10日で8シェードのホワイトニング効果
ACP(Amorphous Calcium Phosphate不定形リン酸カルシウム) 配合
ACPはDiscus社の特許成分で、ハイドロキシアパタイトのコーティングを再生することによりエナメル質を修復します。
歯の表面が新しいハイドロキシアパタイトで覆われることにより歯の光沢が増します。
フッ素の摂取を高める効果があり、知覚過敏を防止します。
【成分】
過酸化尿素 10%
【装着時間】
4時間~一晩

試薬を調合して使います。古くからホワイトニング薬剤として利用されていますので、安全です。
| 治療前 | 治療後 | |
|---|---|---|
| case1 | ![]() |
![]() |
| case2 | ![]() |
![]() |
保険適用でき、美しく仕上げられる材質に、レジン(CR:コンポジットレジン)があります。歯医者さんで治療を受けられた経験が多ければ、恐らくご存知だと思います。あい歯科ではこのレジンを用いた治療に依存しており、可能な限り、レジン治療(ほとんどが保険適応)を行っております。レジンはいろいろな大学、メーカーが努力し、改良を重ねたおかげで、今日非常によいものが提供できるようになりました。ただし、素材はよくなりましたが、まだまだ術者のテクニックによるところが大きいのも事実です。また、適用しやすいところ、しにくいところがあるため、すべて用いられるとは限りません。
【利点】
・きれい!
・2次的な虫歯になりにくい(ギャップが無いため;適正な手技であれば・・・)
・無駄に歯を削らずに済む
・早い(虫歯の数が多ければ、治療回数が格段に少なくなる)
・結果安い
・修理が容易
【欠点】
・劣化する(ただし、リペアも容易)
・変色する(これもリペア容易)
・テクニックの依存度が高い
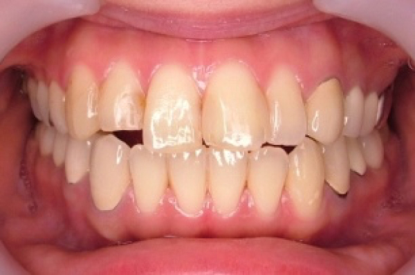
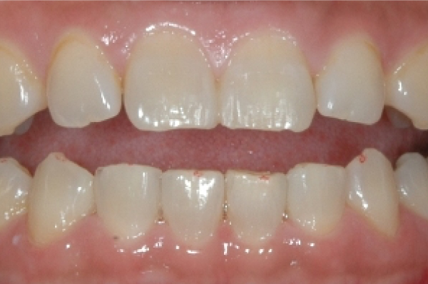
| 治療前 | 治療後 |
|---|---|
若い方のかみ合わせの面の虫歯です。虫歯を除去すると、大きな穴になりました。なるべく歯を残すため、慎重に削りました。 |
かみ合わせの面に限局していたため、レジン治療ができました。 |
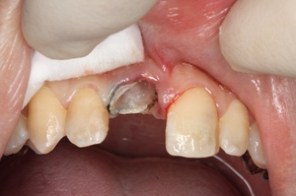
抜歯になりそうな歯だったのですが、使えるだけ使うことに同意をいただき、その場でレジン治療をしました。(歯肉が赤いのは、一部切除したためです。) |
きれいに仕上がりました。時間がたてば、歯肉も回復してきます。これも治療は1回です。 |
|
![]() |
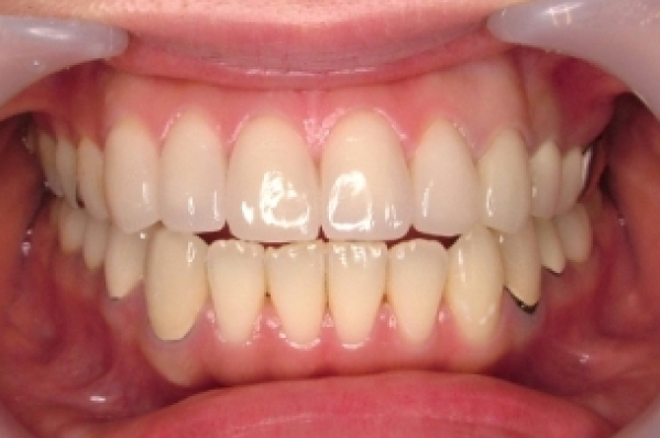
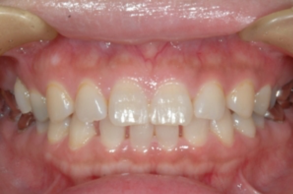
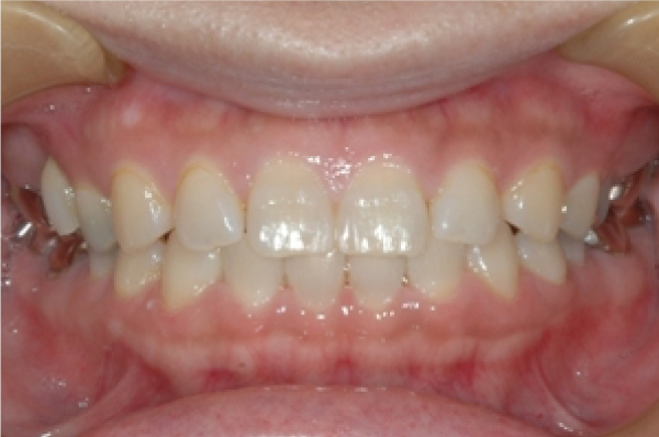
下の歯のスキッ歯が気になるということで、レジンにて行うことにしました。 |
以前は削ってラミネートベニアでしたが、こういう治療もできるようになりました。 |
審美の基本に、セラミックスを使った治療があります。大きな形態の修正や、美しいバランスをとる場合に、特に優れています。また、変色が無く、色合いも自由自在に表現できます。
【セラミックス系の歯の特徴】
・金属を裏打ちしたメタルボンド(MBまたはPFM)は歴史も古く、予知性の高いかぶせ物となっております。
・オールセラミックスは、金属を使用しないメタルフリーであり、より美しく天然の歯に近い表現ができます。
・ラミネートベニアは、少ない削去量で効果的に美しく表現できます。
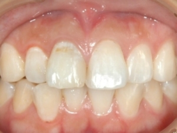
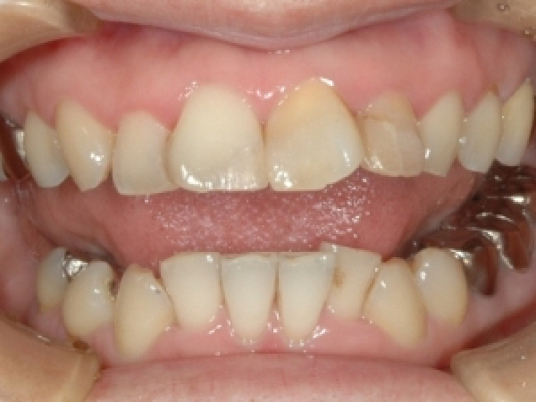
| 治療前 | 治療後 |
|---|---|
歯の長さと、大きさの不揃いさを改善したく、来院されました。 |
歯の神経へのダメージなどを考え、相談のもとラミネートベニアと、一部オールセラミックスを用いた審美回復を行いました。 |