2018/01/11更新
Colume
4
院長・深野 源太 / ふかのげんた
特MI治療とは・・・かのスーパードクター、 月星光博先生の言葉を借りると、
“可能な限りエナメル質を残す”となります。歯の基本構造を下記に示しますが、表層にあるエナメル質と、内部の象牙質とは根本的に(発生学的にも)まったく異なります。基本的には、象牙質は、象牙質-歯髄複合体とも呼ばれ、体の内部とおなじ扱いをしなければなりません。


ちょっと難しいので、視点をまったく変えてみると・・・エナメル質はコンクリート製。象牙質は木製。ばい菌をシロアリと置き換えると、イメージしやすいでしょうか!?シロアリは、木には簡単に穴をあけます!同じく、ばい菌にとって象牙質は簡単に溶かすことができるのです。上の図に表現してあるように、象牙質は細管構造、つまり管が集まって出来ている構造をしており、ちょうどばい菌が入れるぐらい(1μm)の太さをしております。この管を、“象牙細管”と呼んでおり、ばい菌はこれを利用して深部まで侵入、酸を出して内部より破壊していくのです。いっぽう、エナメル質は、高度に結晶化され、鎧のような役割をし、ばい菌にとってもこれを溶かすのは非常に困難なのです。実際の臨床でもその差は歴然で、エナメル質を不必要に削ってしまうと、虫歯に対する抵抗力が格段におち、わずか1~2ヶ月で2次的な虫歯を形成することがあります(経験的に)。反面、エナメル質は、本当に強く、堅牢なのです。ちなみに、エナメル質は再生しません。象牙質は再生します。
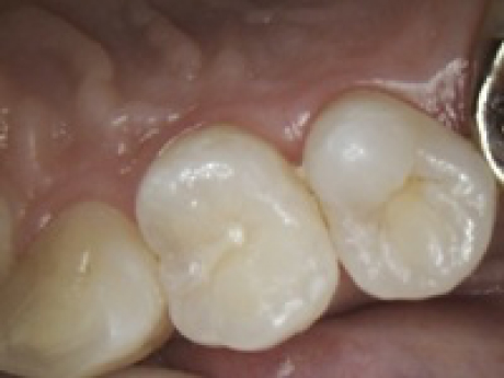
case1



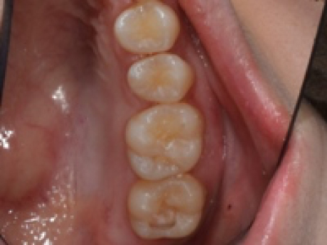
case2



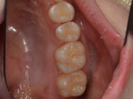
case3



case4



case5



最後に大事なお話(^^)
MI治療は、手段であり、目的ではありません。あくまで、感染した歯質を除去することが目的であり、広義では問題なく機能することであると考えます。なるべくMIを心がけますが、MIを重要視するあまり、虫歯の取り残しなどがあると、本来の治療の意味が解らなくなってしまいます。熟練した技術や、材料の進化によって、かつての治療より優れているように見えますが、基本的な目的は変わらないことを、あえて付け加えておきますので、肝に銘じてください。ね!