Colume
3
骨を造る?特殊なインプラントを紹介
院長・深野 源太 / ふかのげんた
特殊なインプラントについて紹介いたします。
あい歯科クリニックでは、・ソケットリフト術・GBR・サイナスリフトなどの、骨が少ないケースに人工骨を移植して、骨を増大し、インプラントが出来るようになります。
他院で断られたケースも、あきらめないでお尋ねください。

骨を造ってインプラント
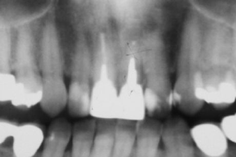
GBRやソケットプリザベーション:顎の骨を人工的に造る

歯を抜いた後です。炎症により、大部分の骨が吸収しております。

骨再生療法後。手術より6ヶ月後の状態です。

予定通り、インプラントを埋入しました。使用インプラントはプラトンタイプ4です。
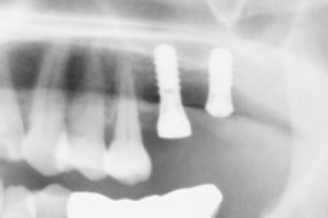
サイナスリフト:上顎の空洞(上顎洞)に人工骨を入れる

非常に薄い骨(CTで確認)につきインプラント困難ケース。口蓋を覆う義歯がどうしてもなじめないため、インプラント2本を用いて特殊な義歯での治療をおこなうことに。

このケースは、骨があまりに薄くて上顎洞側壁が、ピンセットで簡単に剥がれるほどでした。ラテラルウインドテクニックですが、いつも10~15mmぐらいの穴で、極力歯肉を剥がさずおこなっております。(術後の腫れを少なくするため。)

人工骨を挿入。内部の膜(上顎洞内の粘膜)を破らないように、慎重かつ大胆に進めていきます。2005年よりこの術式で行っておりますが、未だに一番緊張する瞬間でもあります。

紙切れの様な骨が、しっかりとボリュームがでました!っといっても、分かりにくいですよねぇ。

この後に、インプラント固定の義歯が入ります。
ソケットリフト:
エステティックゾーンインプラント

左上の(見ているほうからは右)前歯の内部が、虫歯でだめになってしまいました。ちなみに、左右前歯が一塊になっているので、外れずに問題ないように見えています。

インプラントをご希望されたので、
抜歯を行い、すぐにインプラント(即時)埋入しました。

骨の状態がよかったため、すぐに仮歯を入れることができました。

3ヶ月後、メタルボンドを入れて、完成です。前歯は、目立つところなので、長くきれいに見せるためには、いろいろコツがあります。
※↓審美インプラントにおいて、特に重要な箇所をピックアップしてみました!

埋入位置。この失敗は、審美のみならず、長期予後が不安定になります。一番多いトラブルかもしれません。

仮歯の形態。歯肉の回復に関与します。

精密なフィットと、早期の審美回復が行えます。

・・・回復を確認します。(仮歯です。特に歯の間の歯ぐきの形態の自然感を確認)

歯肉形態の確認。問題あれば、修正します。(隣の歯との歯ぐきの形態をあわせます。)

精密な型どり。最終的な完成品の精度に影響します。
精度が悪いと、感染を起こしやすくなり、歯周病(peri-implantitis)につながります。
※使用インプラント:いずれもノーベルバイオケア社リプレイスセレクトを使用。